
様々なご事情から頻繁に通院ができない患者様のために、短期集中治療を行っています。
一つのアポイントの時間を最低2時間(最長で5時間) 、むし歯であれば最大8本、インプラントであれば最大3本一度に処置することができます。(程度により異なります)
短期集中治療の際は長時間お口を開ける負担を軽減するために、静脈内鎮静法を用います。
歯科治療は、お口を開けるための負担を考慮した場合に1回の治療時間が短く、どうしても通院回数が多くなりがちです。そのことが要因の一つとなり、つい治療から足が遠のくという方もいらっしゃいます。
当院では、患者様のご都合に合う治療を実現するために、短期集中治療を行っております。
1回の治療時間を最低2時間(最長で5時間) と長く設けることで、一気に治療を進めることができ、治療全体にかかる期間を大幅に短縮することができるようになります。
注意①
注意②
歯の欠けや隙間を補うために、白いハイブリッドセラミックの素材を歯に直接塗り重ね、天然歯のような見た目を再現できます。
当院では前歯の欠けや隙間を埋める審美的なダイレクトレジン修復や、歯の表面を薄く削り審美的に見た目を改善するダイレクトベニアにも対応。セラミックによる被せ物や詰め物に比べて削る量が抑えられるので、歯にも負担の少ない治療法です。
当院ではラバーダム防湿法を行っています。
治療中の二次的な細菌汚染が起こらないように配慮し、歯の神経治療の予後に配慮します。
(むし歯治療とは、既に歯の中に細菌侵入があるため、完全無菌治療ではないことをご理解ください。)
この方法により、神経治療の回数を大幅に減らすことも可能です。
虫歯の状態や感染状況により、複数回の治療が必要となる場合もございます。
歯科医院独特の雰囲気が怖い、どうしても緊張してしまう、嘔吐反射が強くて治療が難しいなどこのようなお悩みを解決するために、ゴールド麻布デンタルクリニックでは「静脈内鎮静法」を行なっています。
点滴で安定剤を血管に投与し、眠っているようにリラックスした状態で歯科治療を受けることができます。胃や大腸の内視鏡検査などでもよく使われる方法です。全身麻酔とは異なり入院の必要もなく、施術後に少しお休みいただいた後、当日お帰りいただけます。非常に安全性の高い方法ですので、歯科治療中の緊張や嘔吐反射に悩まれている方、長時間の治療が心配、そのほか歯科治療が苦手という方は、当院までご相談ください。
当院では歯科医師・歯科技工士が密に連携し、精度の高い詰め物・被せ物を製作しております。
セラミッククラウン治療の際は技工士が立ち合い、実際の咬み合う歯の状態や他の歯の色とのバランスをトータルで考え、患者様にご納得いただけるものができ上がるまで真心を込めて製作いたしております。
【治療本数 12本 治療回数 3回】
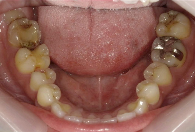
■治療前(上の歯)
■治療前(下の歯)
■治療後(上の歯)
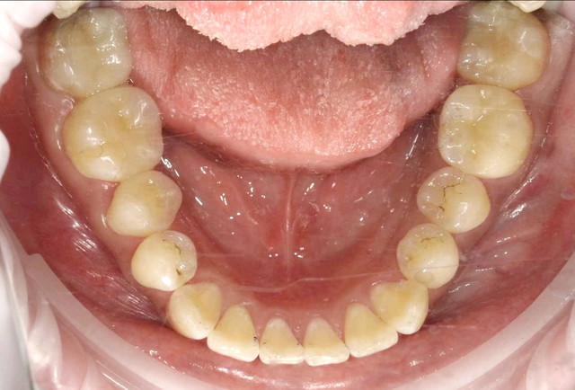
■治療後(下の歯)
【遠隔地からの通院】
【治療本数 セラミック13本 治療回数 3回】
歯のホワイトニング:治療回数4回/患者様の希望により短期間で一気に白くしたい
総期間:1ヶ月間
■治療前 顔貌
■治療前 口腔内
■治療後 顔貌
■治療後 口腔内
【海外からの一時帰国】
【治療本数 6本 治療回数 2回】
問診票をもとに、患者様のご要望をお聞きいたします。気になっていることはなんでもご相談ください。
歯科用CTや口腔内診査など、治療に必要な基本検査を通し、患者様の現在の口腔内の状況を把握します。
治療を開始する前に処置が必要な歯周病などがないかを判断します。
(短期集中治療に伴う治療は基本的に自費診療となります。)
治療方法や治療期間、必要な通院回数など、詳しい治療計画をご提案します。患者様と情報を共有いたします。
治療に必要となる費用をご提示させていただきます。その場で決める必要はございませんので、ご自宅でゆっくりご検討ください。
当院では、患者様がご不安を抱えていらっしゃる状態で治療を進めることはございません。わからないことは、いつでもご相談ください。
ご検討のうえ、患者様にご納得いただいたら、治療開始です。治療前にも、再度治療内容のご説明と確認をしてから治療を進めます。
治療時間は、1回につき1時間半~2時間半。歯の状態によりますが、平均して歯の治療は最大8本、インプラントであれば2本前後の埋入ができます。
治療時間が長くなると、お口を開ける負担も大きくなります。その場合は、負担を軽減する「静脈内鎮静法」を併用した治療も可能です。
例A:静脈内鎮静法を用いて、歯の神経治療(前歯2本奥歯1本)初日から行った場合
| 短期集中治療 内訳 | 費用(税込) |
|---|---|
| 静脈内鎮静法(1時間30分以内) | ¥33,000 |
| 静脈内鎮静法 延長1時間 | ¥22,000 |
| 神経治療/初回(前歯2本奥歯1本) | ¥99,000 |
| 予約金を治療費に充当 | -¥33,000 |
| 合計 | ¥121,000 |
例B:短期集中治療でむし歯治療を6本行った場合
| 短期集中治療 内訳 | 費用(税込) |
|---|---|
| 静脈内鎮静法 | ¥33,000 |
| 静脈内鎮静法 延長2時間 | ¥44,000 |
| 即日での審美的なむし歯治療(前歯3本/大臼歯3本) | ¥297,000 |
| 予約金を治療費に充当 | -¥33,000 |
| 合計 | ¥341,000 |
例C:静脈内鎮静法を用いて、歯の複数本の抜歯/銀歯をセラミックに交換する場合
| 短期集中治療 内訳 | 費用(税込) |
|---|---|
| 静脈内鎮静法 | ¥33,000 |
| 静脈内鎮静法 延長2時間 | ¥44,000 |
| 歯の抜歯 1本 | ¥55,000 |
| セラミック(白いかぶせ歯)の製作 1本 | ¥132,000 |
| セラミック(白い詰め物)の製作 3本 | ¥88,000×3本=¥264,000 |
| 予約金を治療費に充当 | -¥33,000 |
| 合計 | ¥495,000 |
治療費の例です。実際の治療内容により費用は異なります。
複数回治療が必要なこともあることをご理解ください。
| 即日での審美治療(前歯) | ¥40,000(税別) | ダイレクトボンディングと呼ばれる技法で、審美性の高いハイブリッドセラミックにて歯を修復します。 ※むし歯の大きさ(治療範囲)により適応外の場合もございます。ご理解ください。 |
|---|---|---|
| 即日での審美治療(小臼歯/大臼歯) | ¥50,000(税別) | ダイレクトボンディングと呼ばれる技法で、審美性の高いハイブリッドセラミックにて歯を修復します。 ※むし歯の大きさ(治療範囲)により適応外の場合もございます。ご理解ください。 |
| 抜髄治療/歯の神経治療/1本 | ¥25,000~¥40,000(税別) ※根充費用は別途必要になります |
大きいむし歯の治療で、神経治療を最大限細菌に配慮して行う治療法です。 |
| 感染根管治療/根っこの治療 | ¥25,000~¥70,000(税別) 歯種により異なります |
過去に神経治療を施しているが、再感染を引き起こしている歯の再治療を、細菌による二次感染に最大限配慮して行う治療法です。 |
| 静脈内鎮静法 | ¥30,000(税別) | 薬の効果により睡眠状態となり、不快感を軽減した状態で治療します。また、お口を長時間開けている苦痛からも解放されます。 |
| セラミックによるかぶせ歯 (審美クラウン) |
¥130,000~(税別) | 治療回数が2回以上(歯型採得/装着)かかります。しかし、日程調整を行い最短で仕上げることも可能です。 ご相談ください。 |
| 静脈内鎮静法/延長30毎 | ¥10,000(税別) | 基本の1時間半よりもさらに長時間の治療確保が必須な場合の費用です。治療内容、治療本数により異なります。 |
| 短期集中治療予約金(必須) | ¥30,000(税別) |
当日から治療希望の方は、予約枠を長時間確保するため、予約金を事前に精算いただく必要がございます。 予約金は当日の治療費に充当いたします。ご安心ください。 |